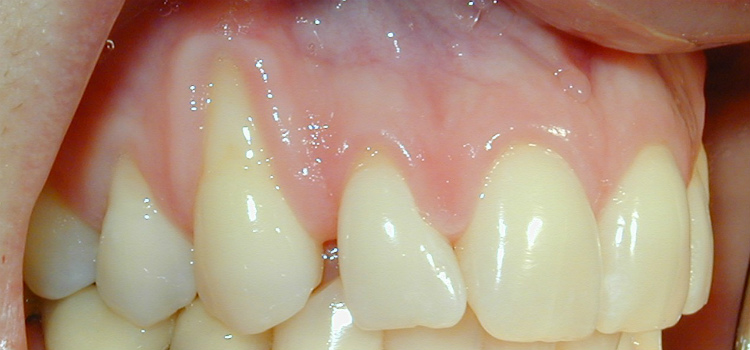
A retração gengival é um problema sério gerado pela recuo das gengivas, o que deixa as raízes dos dentes expostas. Ela possui diferentes graus de severidade, mas incomoda no aspecto estético e torna o dente mais sensível e propenso a inflamações. Por isso, saiba como fazer diversos modos de tratamento caseiro para retração gengival e volte a sorrir com confiança!
Como tratar retração gengival em casa

A retração gengival é um problema que possui cura, mas que não deve ser negligenciado. Afinal, conforme um artigo de pesquisadores brasileiros, o mal posicionamento dos dentes contribui de modo negativo para a saúde dos tecidos periodontais.
Por isso, é importante que se consulte um dentista assim que se constatar os primeiros sinais do recuo da gengiva. Enquanto isso, um bom tratamento caseiro para retração gengival pode ajudar.
1. Cuide da higiene básica
Cuidar da higiene básica dental é a regra número 1 para o tratamento caseiro para retração gengival. Por isso, deve-se usar o fio dental duas vezes por dia para a remoção de sujeiras presentes entre os dentes que não podem ser removidas pela escova.
Além disso, é importante que se escove os dentes pelo menos três vezes por dia com uma escova macia e de forma bastante suave, para não machucar a gengiva. Comprar uma pasta de dentes para dentes sensíveis também pode ajudar nesse processo. Enxaguantes bucais específicos para esse problema também são uma boa solução.
2. Chá verde
Ferva uma xícara de água e depois coloque 1 sachê de chá verde na xícara. Coloque na geladeira para esfriar e coloque para bochechar em sua boca, sem engolir. Espere em torno de 1 a 2 minutos com esse chá na boca e cuspa. Ele é antioxidante, além de ser excelente para combater inflamações que possam ocorrer no trato dentário.
3. Gel de aloe vera
Esse gel é maravilhoso para passar suavemente na gengiva, esfregando em movimentos circulares bem leves. Ele é antisséptico, além de poderoso antifúngico e anti-inflamatório, o que faz desse gel um poderoso componente para combater o surgimento de cáries e outros problemas que possam ocorrer com a retração gengival.
4. Óleo de coco
O óleo de coco é um bom componente para tratar retração gengival, pois é um excelente anti-inflamatório e antisséptico. Isso se deve à presença do ácido láurico, que inclusive faz parte do leite materno, o que já propicia que se note a importância que esse ácido possui.
Além disso, ajuda a clarear os dentes, sem causar dano (como o bicarbonato de sódio e o morango), pois ele não é abrasivo e não danifica o esmalte dentário.
5. Solução salina de mirra
Achava que só os reis magos utilizavam mirra? Então, saiba que esse componente é bastante eficaz para proteger o tecido da gengiva, por evitar as inflamações e combater as bactérias. Para isso, esse exilir deverá ser feito com 125 ml de água morna, ¼ de colher de chá de sal marinho e ¼ de colher de chá de extrato de mirra.
Misture todos esses componentes e utilize 60 ml para a lavagem dos locais afetados. Ela irá limpar a região e promover uma proteção especial para que a gengiva não inflame depois, o que poderia até culminar na extração de algum dente com a piora do quadro.
6. Óleo essencial de limão
Esse óleo é poderoso para a remoção de bactérias, pois é um magnífico antisséptico. Ele é feito a partir da casca do limão e também atua como anti-inflamatório e auxilia no controle do pH bucal, o que colabora para a manutenção das bactérias boas e dificulta a acidificação da cárie.
Para aplicar, você irá necessitar de 10 gotas de óleo de limão para 1 copo de água e depois gargarejar. Você também pode misturar 3 gotinhas dele com 1 colher de sopa de óleo de coco e aplicar na região afetada. Vale destacar que a casca de limão é rica em vitamina C, nutriente anti-inflamatório que também é um poderoso antioxidante para preservação das células do local.
Veja também: os melhores óleos essenciais para sinusite e como usá-los
7. Sálvia
A sálvia é excelente para desinchar gengivas, além de promover o tratamento para abcessos dentários que consistem na inflamação da gengiva, a ponto de ela soltar pus. Por isso, o chá de sálvia é uma poderosa bebida para tratar retração gengival e pode ser feito tranquilamente em casa.
Para preparar esse chá, adicione 2 colheres de folhas secas de sálvia em água fervente e deixe esquentar por 15 minutos. Depois, abafe por 5 minutos e coloque para esfriar. Assim que estiver morno, pode consumir, utilizando-o para gargarejo ou para bochechar.
Saiba mais sobre esse problema no vídeo:

