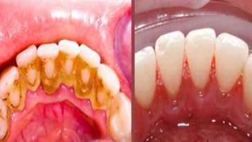
Nossa dica especial de hoje traz uma receita natural extremamente eficiente para limpar, remover placa bacteriana, clarear e ainda fortalecer seus dentes.
Trata-se de um procedimento natural de higiene bucal já usado em antigas culturas de todo o mundo.

Ingredientes:
- Sal do himalaia: 1 colher de sopa;
- Água filtrada: ½ tigela
Modo de preparo:
1. Ferva a água e aguarde que esfrie um pouco;
2. Separe metade da água e reserve, misture o sal na outra metade e mexa bem até formar uma espuma;
3. Use essa mistura para escovar os dentes, substituindo o creme dental;
4. Enxague a boca com o resto que sobrou da água previamente fervida.
O ideal é repetir o processo 3 vezes por semana e não estranhe um pouco de sensibilidade nos primeiros dias.
Alimentos que ajudam a deixar seus dentes mais brancos
1. Use chá verde
Ajuda a remover as bactérias, clareia os dentes e ainda deixa seu o hálito mais refrescante;
2. Sementes de gergelim

O ideal é mastigar as sementes, que ajudam a remover a placa bacteriana e possíveis manchas;
3. Consuma cogumelo
Além de ajudar no clareamento, combate a gengivite;
4. Morango e framboesa

Graças ao xylitol, ajudam a clarear e previnir cárie dentária;
5. Brócolis
Promove melhor saúde bucal, ajudando de forma eficiente a eliminar bactérias;
6. Queijo
Ajuda a equilibrar a presença dos ácidos bucais, promovendo melhor equilíbrio.
Mas atenção, alguns hábitos precisam ser adquiridos. Se você realmente quer dentes mais brancos e saudáveis, evite doces, cigarro e refrigerantes. E escove sempre seus dentes após cada refeição.
Compartilhe!

