Uma bebê de apenas 9 meses foi hospitalizada três vezes porque engoliu uma estrela da árvore de Natal. Foram ao todo 11 dias até descobrir a causa das dores e sangramentos. Veja o que aconteceu e como evitar esse tipo de acidente.
Entenda como aconteceu

Luzes, formas e até sons. A árvore de Natal é uma experiência sensorial única para adultos, imagine para os bebês! E todo esse movimento chama realmente a atenção, sendo na realidade um grande problema. Por estarem ainda na fase oral, os bebês exploram o mundo através de muitos sentidos, principalmente o paladar. Por conta disso, podem acabar engolindo algum enfeite.
E foi exatamente o que aconteceu com a curiosa bebê australiana, de apenas 9 meses de idade. Ainda em fase de explorar, tocar e, claro, levar tudo o que encontra no chão à boca, ela se deparou com a linda árvore de Natal. Muitos enfeites brilhantes e interessantes despertaram sua atenção, mas a escolhida foi uma estrela de plástico.
Como você já sabe, criança pequena é rápida para fazer traquinagem e essa, infelizmente, os pais não viram. Ela simplesmente colocou a estrela na boca e acabou engolindo. Claro que a sensação a incomodou e ela começou a chorar e tossir muito. Também começou a ter respiração acelerada e febre, sendo levada então para o hospital.
Lá, medicaram para febre e enviaram para casa novamente, sem descobrir a causa, achando se tratar de uma simples gripe. Porém, ela voltou 3 dias depois, com sangramentos esparsos na saliva, sendo assim diagnosticada com bronquiolite. Ficou então internada por mais 3 dias, tomando antibióticos e muitos outros remédios, sendo enviada para casa em seguida.
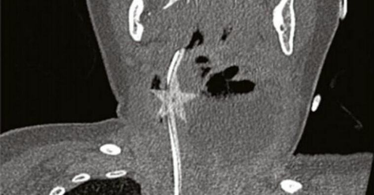
Porém, 6 dias depois, ela ainda apresentava os mesmos sintomas e assim os médicos decidiram fazer um exame de imagem. Nele, surpreenderam-se ao encontrar uma estrela de Natal alojada em sua garganta. Imediatamente, ela foi levada para a sala de cirurgia, onde o objeto foi retirado com sucesso, ficando tudo bem com a bebê.
Como evitar acidentes no Natal
Ainda bem que tudo acabou bem, mas nem sempre é assim que acontece. Mortes por sufocamento são mais comuns do que você imagina e as crianças pequenas são o alvo. E esse é apenas um dos riscos que elas correm em meio a tantos enfeites. Por isso, é fundamental ter atenção a algumas coisas para evitar acidentes nessa época:
- Utilize decoração de plástico somente, nunca de vidro, em árvores de Natal e onde a criança alcança;
- Objetos com partes pequenas, desmontáveis ou não, devem ficar longe das mãozinhas;
- A árvore de Natal deve ficar fora do alcance de crianças, seja com cercados, ou fixadas em local mais alto;
- Os pequenos não devem nunca ficar perto dos enfeites sem supervisão de um adulto;
- Evite usar velas acesas, mas, se o fizer, que seja longe do alcance e sem tecido que possa ser puxado por baixo;
- Tomadas devem estar protegidas e as crianças nunca devem tocar as luzes de Natal, para evitar acidentes sem supervisão.
São algumas medidas simples, outras nem tão agradáveis assim, mas que podem fazer a diferença entre um feliz Natal ou dor de cabeça e ressentimento. Cuide da segurança da sua decoração com o mesmo carinho com o qual decora sua casa e tudo bem.

